ITIフェロー セクションジャパンロゴ入り術着
上顎中切歯1本にストローマンBLTで補綴
中切歯1本の欠損に対して、ストローマンボーンレベルテーパード4.1Φ×10mmを埋入し、ジルコニアクラウンのスクリュー固定の補綴を行いました。
歯根の破折で慢性炎症のために、頬側骨には裂開がありましたので、通法どおりフィクスチャーの表面…
ストーローマン最新型インプラントBLT埋入。
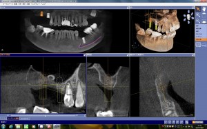
上顎4番部位へセレックガイドでガイデッドサージェリー
上顎の第1小臼歯部へのインプラント埋入をセレックガイドを用いてガイデッドサージェリーで行いました。
使用したインプラントシステムはストローマンですが、シロナのCTとギャラクシスソフトでプランニングをして、院内設置のセレックのミリングマシー…
セレックガイドでストローマンインプラント埋入!
今日は、先天性欠損の右上犬歯部位にガイドサージェリーで、ストローマンボーンレベルインプラントのRC 4.1Φ10mmを埋入しました。
口蓋側の基底結節部にアクセスホールが来るように、埋入角度とポジションを正確に口腔内に埋入するために、セレッ…
上顎ソケットリフトでSLActive2本埋入!
今日のオペは、上顎右側の6,7番埋入でしたが、ちょっと面白いケースです。
術前のCTで上顎洞の中に骨瘤起が見られました。
骨隆起を避けてソケットリフトでシュナイダー膜を挙上するのですが、あまり骨隆起に近いとうまく粘膜が剥離できない可能性…
第1大臼歯3本をインプラント治療、23歳男性!
セレックガイドでのストローマンインプラントガイデッドサージェリー
長いタイトルになりましたが、院内のCAD/CAMシステムで制作したサージカルガイドを使って、ストローマンインプラントのガイデッドサージェリーでインプラントの埋入を行いました。
このサージカルガイドは、セレックガイドと言って今年の11月か…
下顎6番部位にストローマンBLを埋入
下顎第1大臼歯にストローマンBLインプラントを埋入しました。
骨縁埋入型のBLインプラントが発売される前は、ワイドネックを使用して、オクタアバット1.5にスクリュー固定のセラミック冠を作成するのが普通でした。
これは、これで問題はなかった…
抜歯早期のスプラインHAインプラント埋入
右下の7番が歯根破折で放置されたために、抜歯後も埋入部位の歯槽骨の陥凹が見られます。
適正な位置にスプラインHAインプラントの5mmΦ×10mmを埋入すると同時に、近心歯槽頂から余分な骨を採取して周囲の欠損部へボーンチップとして填入しま…











