第1大臼歯3本をインプラント治療、23歳男性!
右上と下顎両側の第1大臼歯部分にインプラント治療をそれぞれ行いましたが、このケースの患者様はまだ23歳の大学生です。
何が問題かというと、治療が終わってから50年以上もインプラントが使用されなくてはならないということです。
通常の歯の治療であれば、10年間何事もなく使用できれば成功と思ってもらえる中で、50年と言えば5回も再治療を繰り返さなければならないことになります。
ですから、最低でも20年から30年くらいはもててほしいと切に思ってしまいます。
幸いチタン製のインプラントは虫歯にはなりませんので、その心配はいりませんね。また、簡単に折れたりすることもないでしょう。
悪くなるとすれば、いわゆる歯周病の状態になることと、インプラントにつないだ歯の部分が壊れることです。
この二つに対しては、プラットフォームスイッチング機構とスクリュー固定の補綴物ということで対応します。
プラットフォームスイッチによって、インプラントを支える骨の部分に炎症が起こりにくいですし、セラミックスの部分が壊れても、スクリューを緩めて簡単に取り外しができますので、修理ができます。
術前にはCTも撮影し、埋入ポジションもほぼ完ぺきですので、50年後は、私も生きているかどうかわかりませんが、出来るだけ長持ちしてもらいたいです。
術前のレントゲン写真です。3か所の歯が抜歯となります。
3か所にストローマンのボーンレベルインプラントSLActiveを埋入しました。
使用したストローマンボーンレベルインプラントSLActiveです。
右下に埋入しているところです。親水性の表面を持っているために、血液が上がってきます。
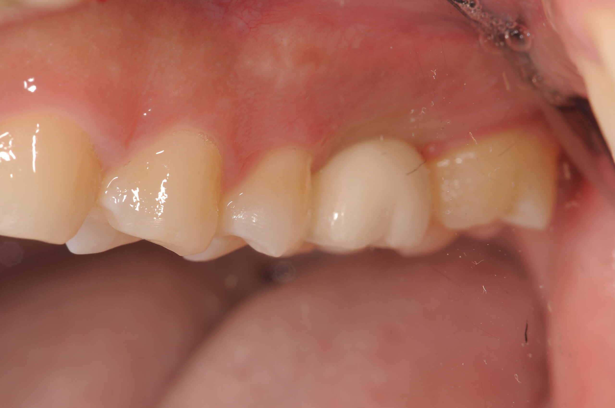
上部構造は、フルジルコニアのスクリュー固定です。
歯が入ったところは、こんな感じです。
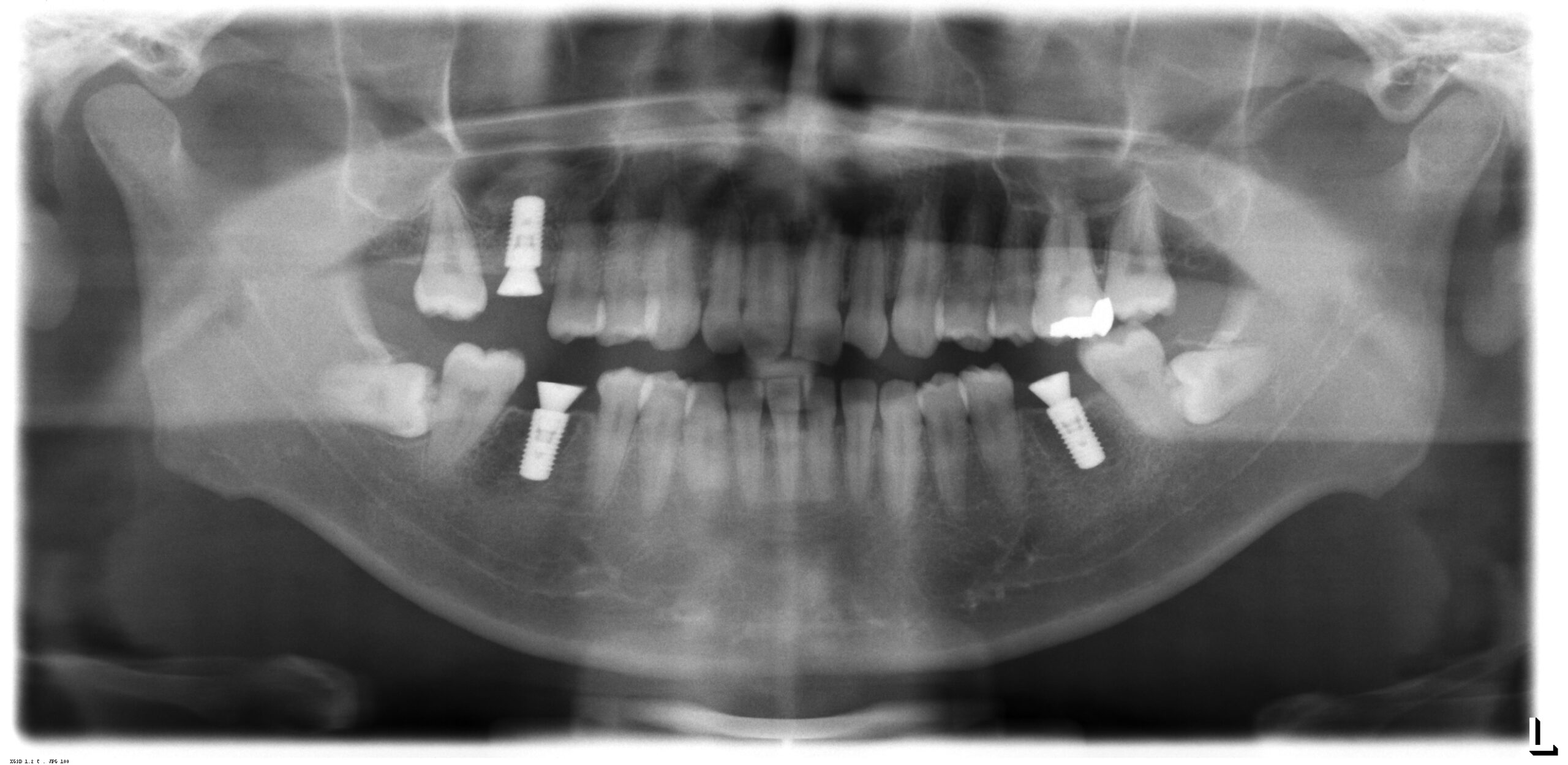
上部構造が装着された後のレントゲン写真です。








