ストーローマン最新型インプラントBLT埋入。
今日のオペは、右下の5,7番部位への埋入ですが、埋入部位の骨が十分にある、ありずぎるケースです。
骨の固さはClass2~3で標準的、幅も深さも十分にありますが、嚙合わさる上の奥歯との間の隙間が狭く、歯を作るのに苦労しそうなケースでした。
それで、歯槽頂つまり上の方の骨をマイセルとマレットで削除して、歯槽骨の高さを低くすることで、歯を入れるスペースを確保しました。
使用したインプラントは、ストローマンボーンレベルテーパードという最も新しいラインナップのインプラントです。
ドリルの形状が良いために、ドリリングがとてもしやすく初期固定も抜群です。
骨縁埋入タイプで、プラットフォームシフト機構のため、ヒーリングアバットメントを装着しても1回法での縫合が歯肉のトリミングなしに簡単に済みます。
つまり、手術時間が短縮できて術者の疲労も少ないです。
最近、お気に入りのインプラントです!
右下の5,7部位のインプラントブリッジ予定ですが、ワーキングスペースが少ないです。
埋入部位の3D CTシミュレーション画像です。
骨隆起も含めて、不要な骨を削除しました。
埋入部位をフラットにした上で、ドリリングしていきますが、ドリルにもテーパーがついていますので、非常にスムーズに形成できます。
使用したBLT(Bone Level Tapered)のSLActiveです。
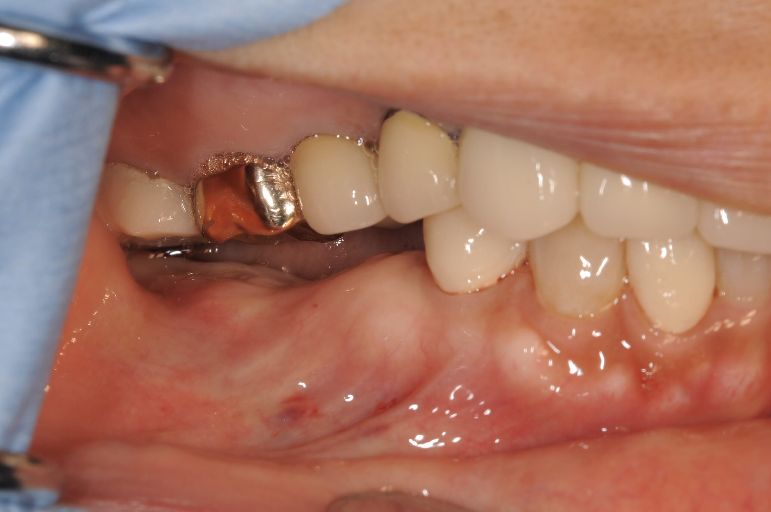
BLTが埋入されたところです。
術後のパノラマレントゲンです。








