ガイデッドサージェリーのインプラント補綴
先日、ストローマンガイドを使用したガイドサージェリーの補綴が終わりました。
下顎両側に3本ずつ、上顎に5本のボーンレベルインプラントを埋入しましたが、すべてのインプラントをあらかじめコンピューター上で3次元的に埋入位置を決定し、その位置へ確実に埋入できるようにサージカルステントを用いるガイデッドサージェリーという手術方法を用いて行いました。
ガイドサージェリーの利点はいくつもありますが、神経管や上顎洞に近いとか埋入できる場所が極端に限られていて、ピンポイントでの埋入が要求される場合などに有効です。
また、埋入ポジションが決まっているので、あらかじめ固定性の仮歯を作っておいて、埋入と同時に固定性の歯を使っていただくことも出来ます(即時荷重)。
また、粘膜の中の骨の形が3次元的にわかっているので、歯ぐきを切開せずに埋入することも出来ます(フラップレス埋入)。
この症例では、フラップレスでは行いませんでしたが、下顎においては即時荷重を行ない、手術当日から固定性の仮歯で食べていただきました。
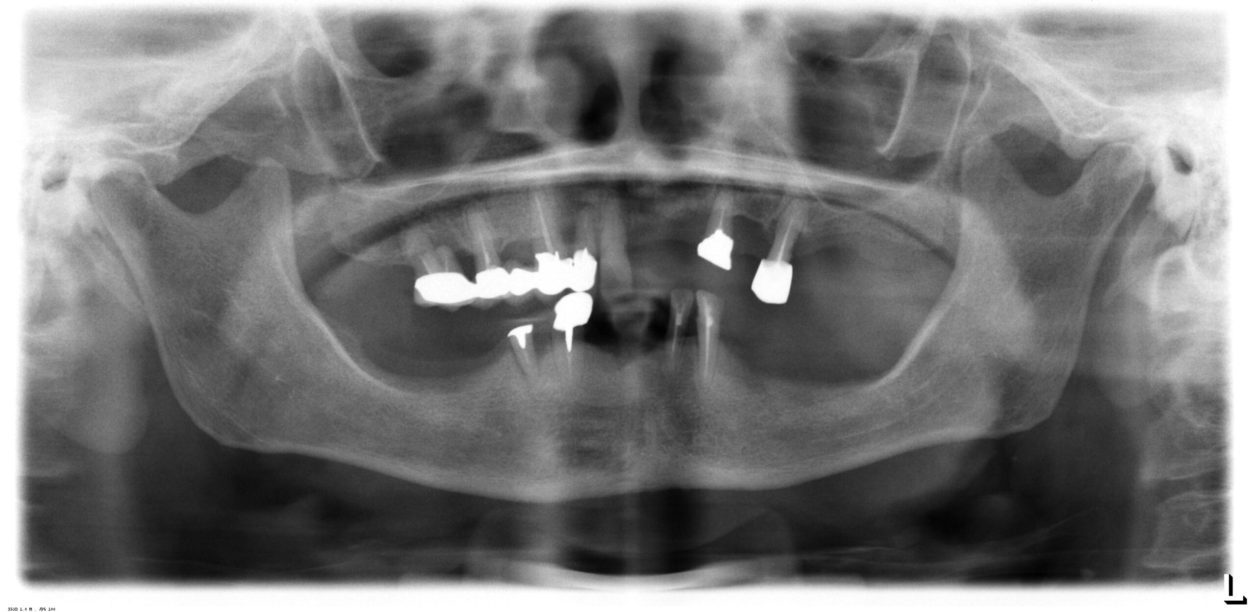
術前のパノラマレントゲン、下顎の骨は十分な高さが無いので下顎管を避けて傾斜埋入が必要でした。
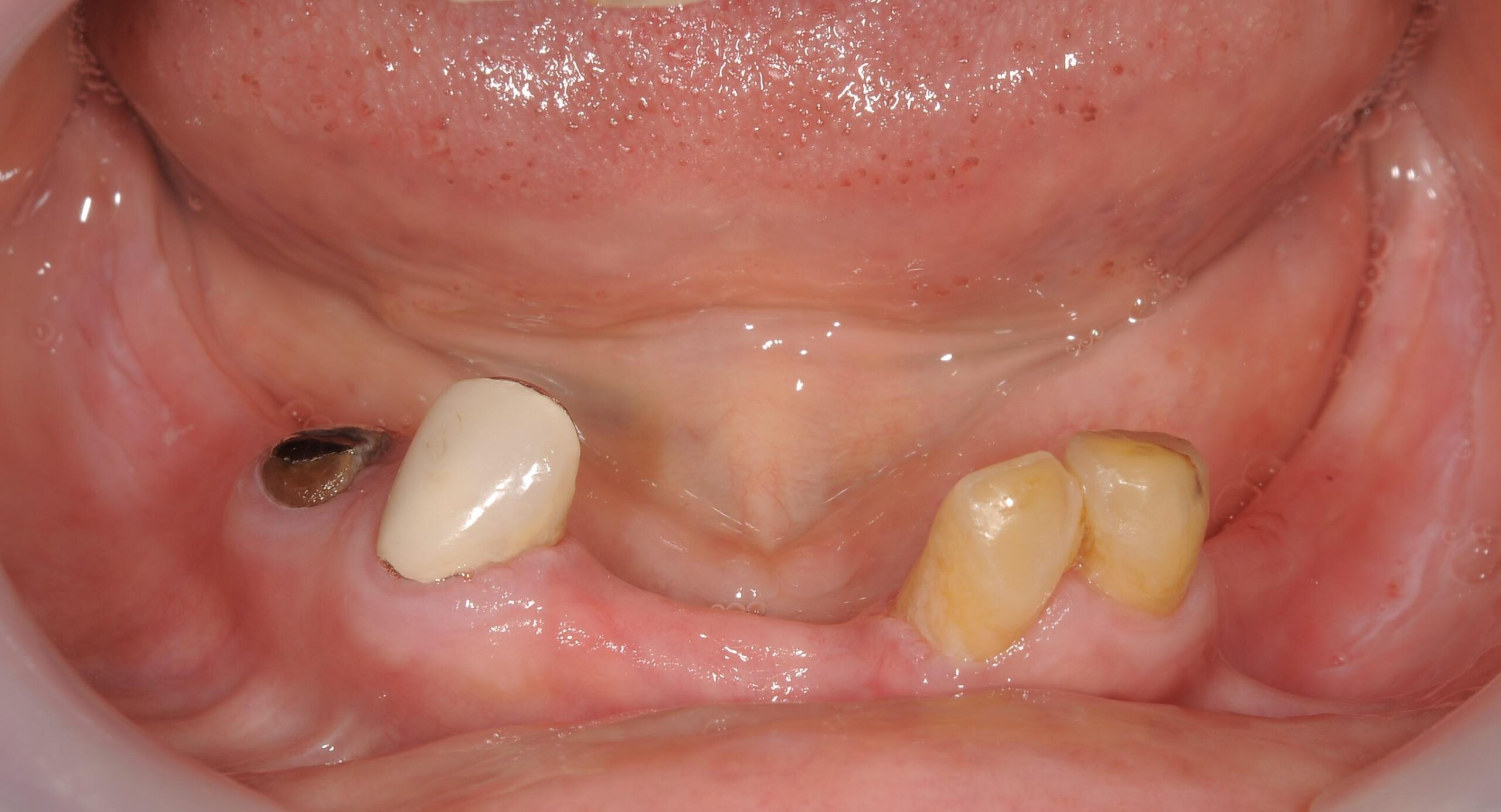
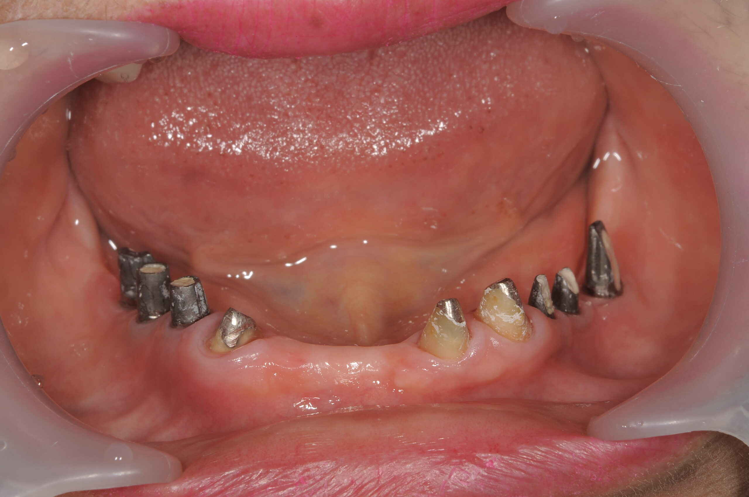
歯の数が少なく、十分に咀嚼することが難しい状態です。
ガイデッドサージェリーに使用するサージカルガイドです。 ドイツのシーキャット社で作製されます。
下顎のインプラント埋入の状況です。
下顎管を避けてピンポイントで埋入します。
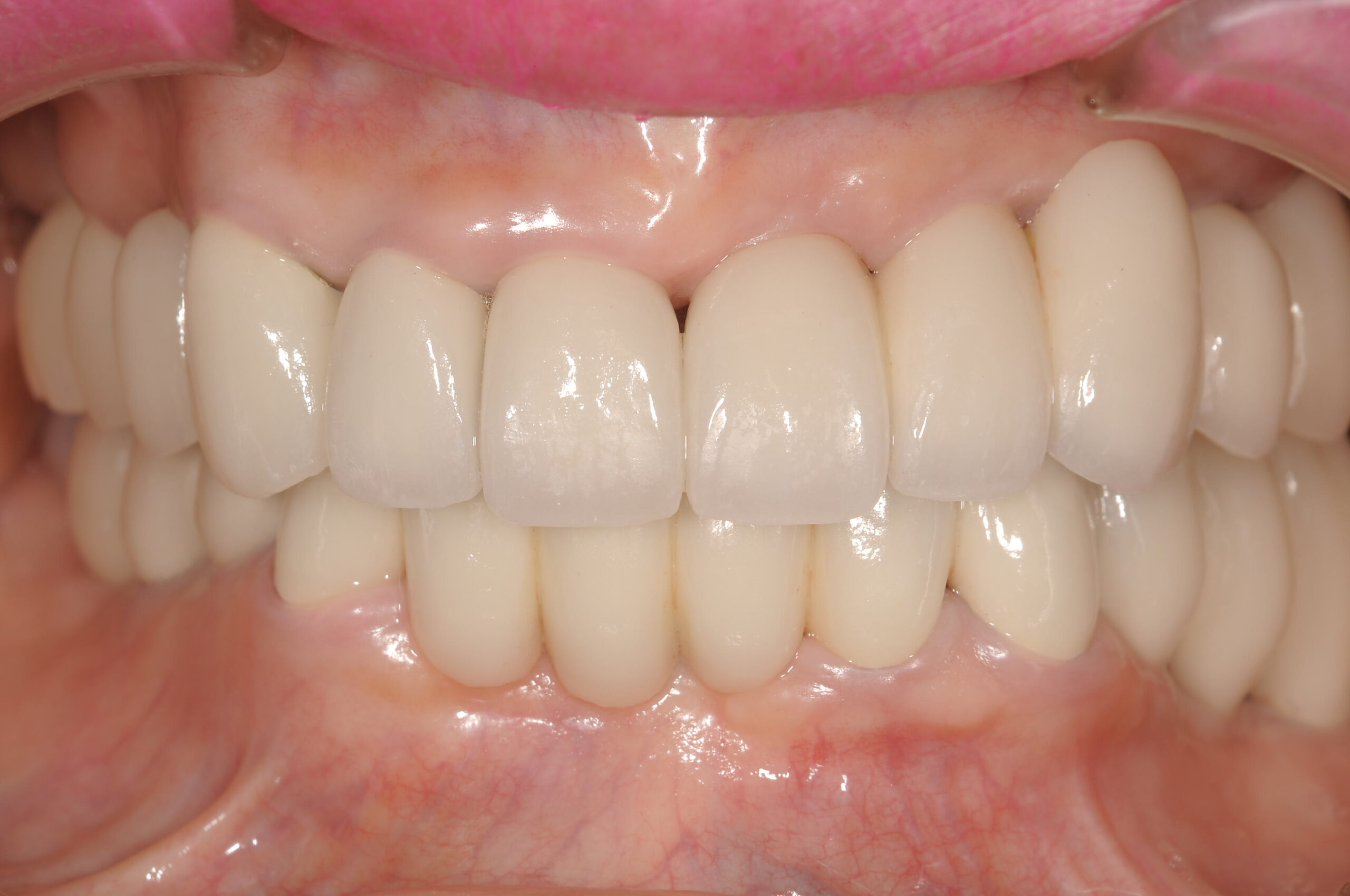
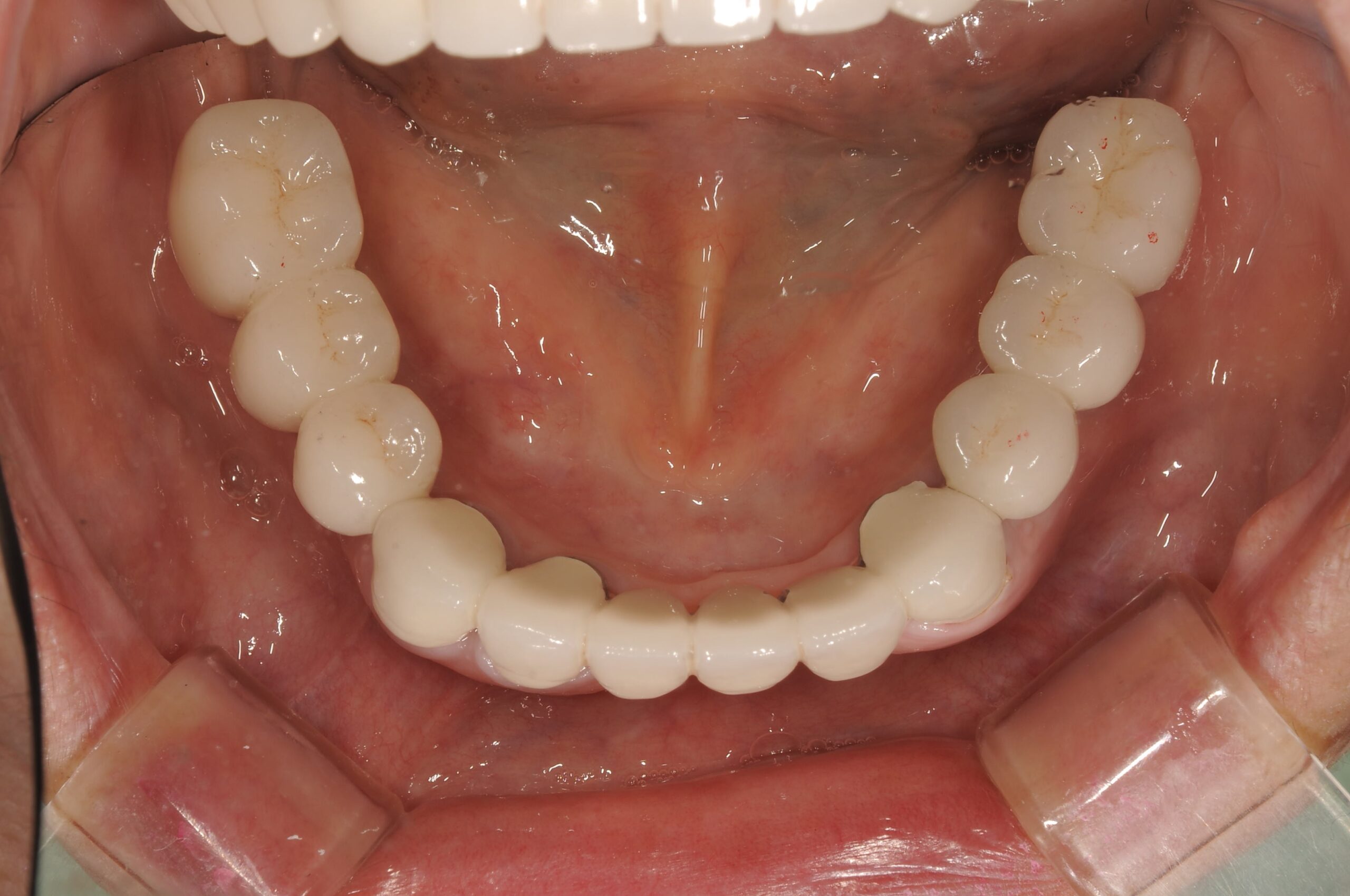
上顎の12本,下顎12本の固定式の歯が入り、なんでもおいしく食べられるようになられました。
治療後のパノラマです。












