顎機能障害と歯周病による欠損に対してインプラントの治療
2年半ほどかかりましたが、顎関節症と重度の歯周病を抱えた40代の患者様の治療が終了しました。
歯列不正もかなりありましたので、歯列矯正もおこないながら補綴的に咬合平面を整え、上顎にはサイナスリフト併用のインプラントを行い最終的には固定性の補綴物で機能回復を行いました。
もちろん歯周病の治療もおこない、患者様にはご家庭でのブラッシングを頑張っていただきました。
そして、ご自分の歯にはホワイトニングを行なってから、セラミックスの歯で審美的に治療を完了しました!
かなり、難しい症例でしたので、治療終了時には患者様も私たちも感激して胸が熱くなりました!
今後は定期メインテナンスを通して生涯健康な口で生活していただきたいと思っています。
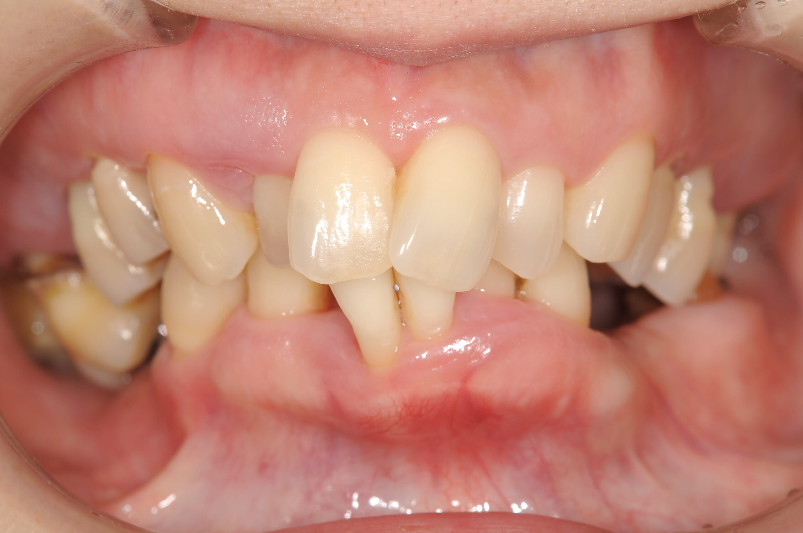
治療前の状態ですが、歯並びの不正とあごの位置もずれが大きく、お口をあけるたびに顎関節にクリック音と痛みがありました。
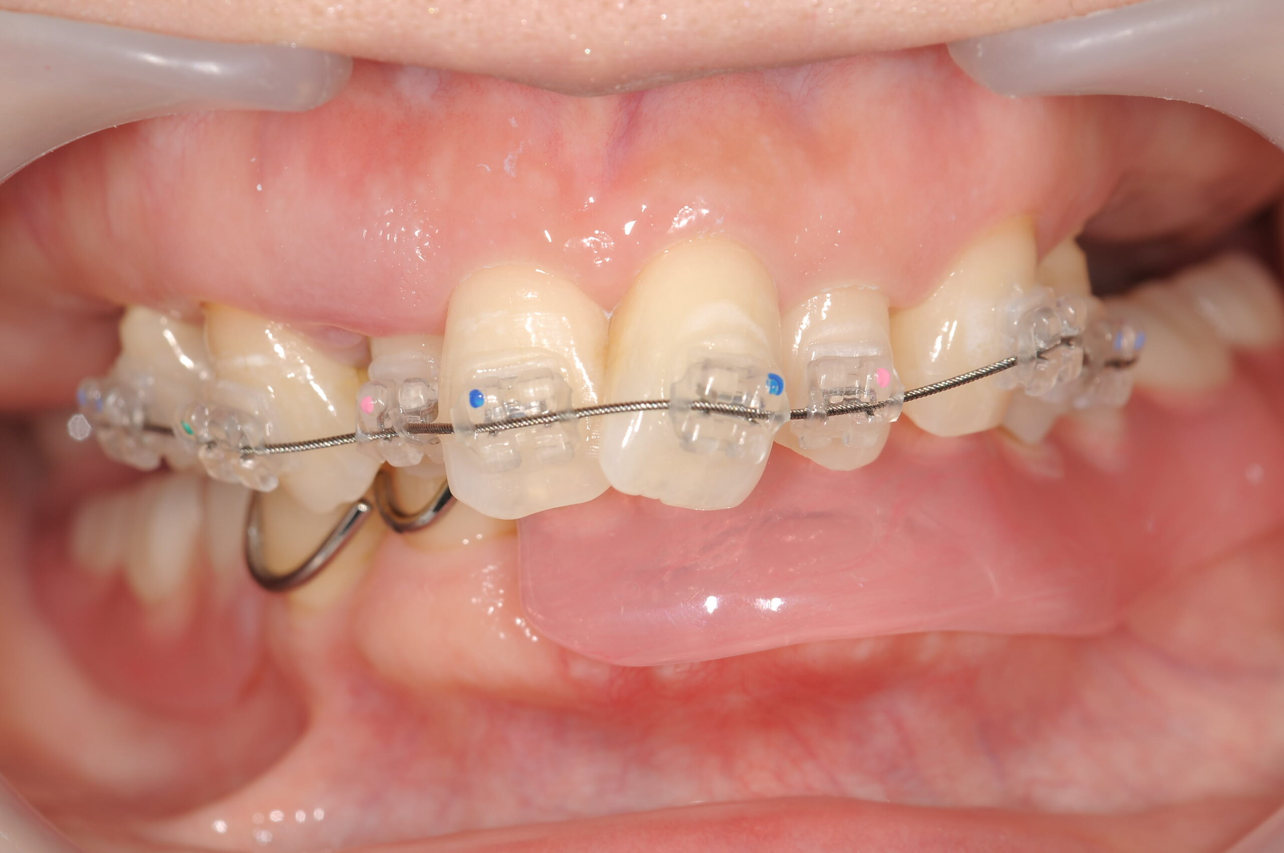
下あごには、取り外しの仮義歯を使っていただきながら、上顎は歯列矯正を行いました。
下あごにと上顎の両側にインプラントの仮歯が入り、歯列矯正により歯並びもよくなりました。
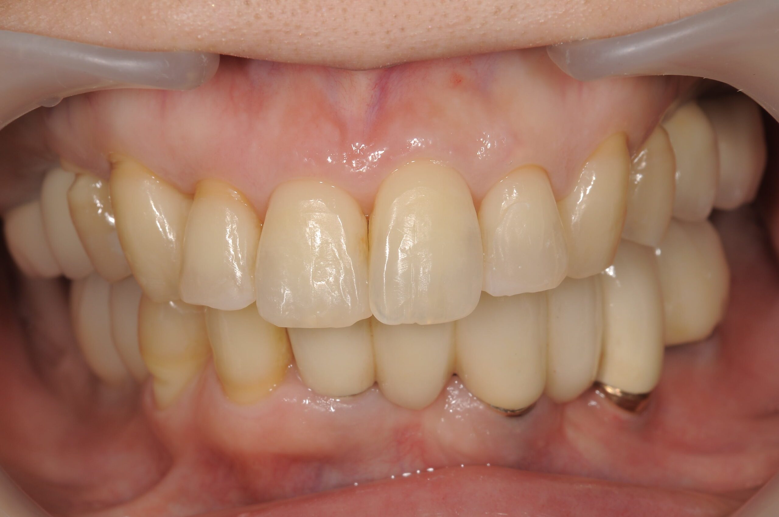
治療後の状態です。あごの調子もよくなりなんでもおいしく食べられるようになられました。
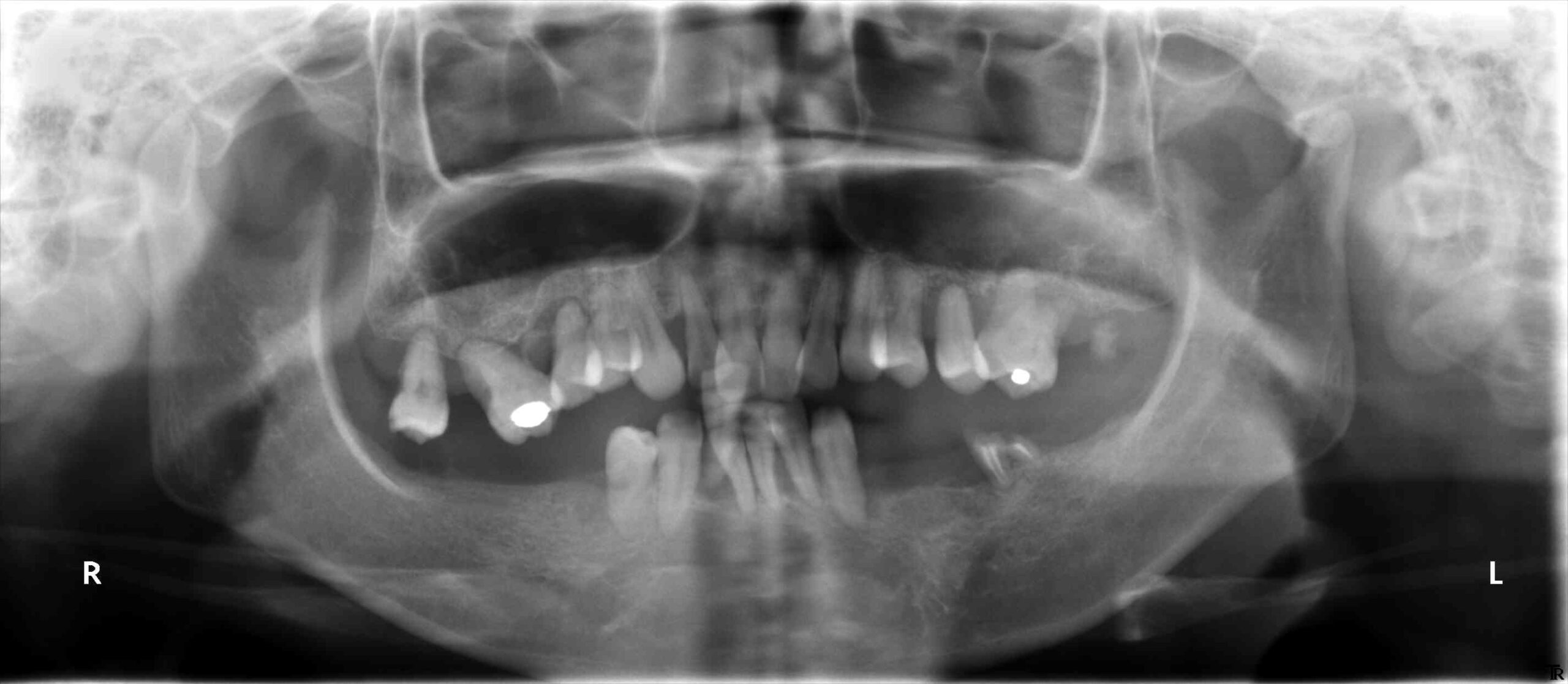
治療前のレントゲンです。
治療後は10本のインプラントで固定性の歯が得られています。





