【60代女性】【歯周病治療・インプラント治療】
歯周病を治したい、きちんと噛めるようになりたい。
患者様のお声
Q.木村さんは池田歯科に通院し始めて15年位になりますが、当院に通う前と後では、どんな所がかわりましたか?
A.まず、歯を治療してから、性格が明るくなりました。何でも前向きに考えるようになり、行動範囲も広がりました。
Q.行動範囲まで広がったのですね?
A.仕事をしていたせいもありますが、退職後は海外旅行に行くのが楽しみで、年に数回行っており、そのうち半分は一人旅です。
Q.そこで主税さん(木村さん紹介)と出会われたのですか?
A.主税さんは、奥様と二人旅で、奥様から「木村さんの歯はお綺麗ですね、どこで治療されたのですか?」と聞かれました。
Q.治療されていた2年間はどんな思いでしたか?
A.2年間治療しましたが、歯が綺麗になると思えば通院は全然苦ではありませんでした。外科手術(FOP)も6回もしましたが、歯を綺麗にしたい一心で自分も一生懸命でした。
Q.治療期間は、歯を治したい一心で一生懸命だったのですね。その後約10年間しっかりメンテナンスに通われていますが、今の気持ちの変化などありますか?
A.今は、毎日どんなことがあっても磨く習慣が身につきました。
出かける前にも、必ず歯を磨きます。メンテナンスはもう生活の一部になっていて、歯と命とどっちが大事?!という位、歯は大切だと感じています。
歯を治療してから、その後歯が弱ったと感じたことはありません。また、人の歯も気になるようになりました。
Q.人の歯も気になるようになったのですね。
A.人には歯は宝石だから大事よ、と言っています。歯の治療にはお金をかけたけれど、これは自分への投資だと思っています。私は、ダイヤは一つも持っていないけれど、この歯がクリスタルの宝石ですから(笑)
Q.将来について聞かせて下さい。
A.このままメンテナンスを続けていって一生自分の歯で食べていきたいと思います。
母は入れ歯で小さい頃から歯は大事よと言われ続けてきました。
父は生涯自分の歯でしたが、塩で歯を磨いていました。
自分の歯は母譲りだったけれど、結果インプラントもすることなく、自分の歯で何でも食べられるので幸せだと感じています。
池田歯科と出会えて本当に良かった。先生の技術の素晴らしさに感謝しています。
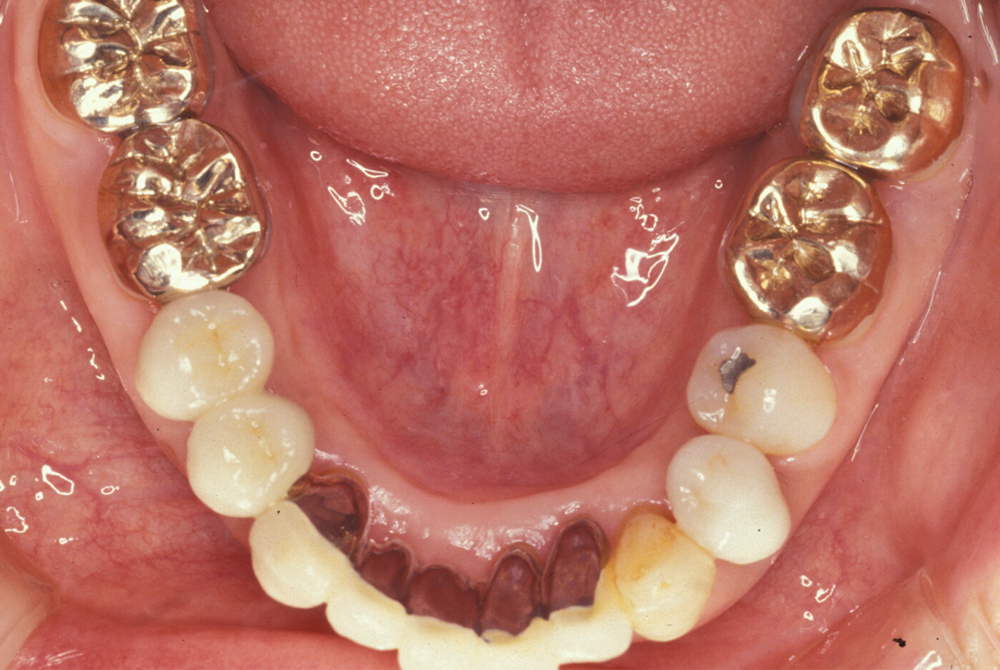
- 治療前 - 10年くらい前から、歯茎がたびたび腫れていたが、歯医者に行くのが怖くてずっと放置していた。最近は、下の前歯がグラグラして噛めないし、めまいや頭痛などの更年期障害もおこってきたので、思い切って来院した。 - 治療後 - 患者さんのお話をお伺いしたところ、入れ歯ではなく、ご自分の歯でかめるようになりたいという強いご希望があることがわかりましたので、全体的に歯周病の根治術を行い、ブラッシングがしやすくなるようにとの観点から歯並びの矯正治療を行いました。 何本かはどうしても抜歯しなくてはなりませんでしたが、2年以上の治療期間をとおして何とか固定式の歯を入れることができました。 
- 治療前 - 治療後 
- 治療前 - 治療後 
- 治療前 - 治療後 
- 治療前 - 治療後 
| 担当医 | 池田正人先生 | 
|---|---|
| 主訴 | 歯周病がひどく、きちんと治療したいためご来院。 10年くらい前から、歯茎がたびたび腫れていたが、歯医者に行くのが怖くてずっと放置していた。最近は、下の前歯がグラグラして噛めないし、めまいや頭痛などの更年期障害もおこってきたので、思い切って来院した。 | 
| 期間 | - | 
| 費用 | - | 
| 治療内容 | ・歯周病治療 ・インプラント治療 | 
| 治療に伴うリスク | - | 
大濠公園駅で
歯科医院をお探しなら、
池田歯科大濠クリニックへ
気づかないうちに進行する歯周病。
まずはお気軽にご相談ください!
歯周病は、気づかぬうちに進行し、大切な歯を失う原因となることもあります。
池田歯科大濠クリニックでは、豊富な治療経験をもとに、軽度から重度まで幅広く対応しております。
症状の有無にかかわらず、定期的なチェックをおすすめしています。

24時間無料受付可能ご予約・ご相談はお気軽に!
ご予約はお電話またはWEBにて承っております。
 WEB予約が埋まっていても、当日受診可能な場合がございますので、お電話ください。
 (こちらでも可→092-716-0666)




















