前歯の虫歯やすきっ歯、歯並びを改善できるラミネートベニア法
審美治療の1番手、ラミネートベニア法とは?
ラミネートベニア法は審美歯科治療のフラッグシップと言われていて、アメリカなどでは美意識の高い多くの人が、この治療を受けています。
歯の表面にセラミックなどでできた薄いシェルを貼り付ける治療法で、イメージとしてはつけ爪に近く、貼り付けるだけで理想的な口元の美を獲得できます。シェルには沢山の色が用意されていますので、患者さんが理想とする歯の美しさを追求することが可能となっています。
ホワイトニング治療の代替としてのラミネートベニア
歯を白くする治療法といえば、ホワイトニングがあります。
ホワイトニングは、過酸化水素が含まれた薬剤を歯面に塗布して、歯を漂白する処置法です。健康な歯であれば、1回のクリニックでの処置と自宅での2週間のホームホームホワイトニングの処置で歯本来の白さを取り戻すことができます。
けれども、神経が死んでいる歯や生まれつきの歯の変色などには、ホワイトニングの効果が出ません。 そのような場合には、ラミネートべニアが有効です。
セラミック製のシェルを歯面に貼り付けるので、歯の色を希望の白さにできるのと同時に、歯の形までも理想的に変えることができます。 しかも、治療回数も2回で済みますし、治療が済んだ歯はホワイトニングした歯のように色の後戻りもありませんので、アフターケアが簡単です。
歯列の隙間や歯の形状を即座に改善できる
ラミネートべニア法が適用される歯列不正に、正中離開(せいちゅうりかい)というものがあります。
これはいわゆる「すきっ歯」と呼ばれるもので、前歯と前歯の間に隙間が出来ている状態です。これを矯正治療で治すには難しく、隙間を閉じても後戻りしたり、他の場所に隙間が出来たりしてしまいます。結局1本1本の歯の幅を広くする必要があります。
その時に最も有効な方法がラミネートベニアということになります。
また、歯の大きさや形に不満がある方も、ラミネートべニアによって改善することが可能です。とくに、前歯の形状や色艶を良くするために、ラミネートべニア法を受ける患者さんが多いです。「前歯が小さくて子供っぽいのが気に入らない」という患者さんもいらっしゃいます。そこで実際の症例を1つ見てみましょう。
ラミネートベニア症例
1.「就職活動のためにきれいにしたい」と来院した大学生です。生まれつき歯が黒ずんでいたために、とりあえず保険のプラスティックでカバーしてもらっていましたが、艶が無く色も変色してきたために、セラミックスのラミネートベニアを希望されました。
2.表面のプラスティックを削り、形を整えます。こうして歯質を削除することで、ラミネートべニアを貼り付ける余地が生まれます。
3.歯の型取りをして、ラミネートベニアの厚さと、歯の削除量について精密に診査します。
4.歯科技工所からラミネートベニアができてきました。
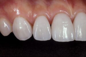
5.色を合わせたレジンセメントで歯に接着して治療終了です。 色、ツヤ、形もよくなり笑顔がグッときれいになりました。
6.最後に治療前と治療後を比較してみましょう。
before
After
ラミネートべニア法のメリット・デメリット
ラミネートべニア法には、次に挙げるようなメリットがあります。
- ・ホワイトニングできない歯にも適用可能
- ・セラミックなので丈夫で色艶が良い
- ・2~3回の通院で治療が終わる
- ・歯を削る量が少なくてすむ
- ・歯と体にやさしい素材を使う
このように、ラミネートべニア法には、様々なメリットがあるのですが、デメリットとしては、歯質を削らなければならないという点です。
もちろん、虫歯治療などと比較すれば切削する量は少ないのですが、健康な歯を削るのに抵抗がある患者さんもいらっしゃいます。 それと健康保険の適応ではありませんので、自費治療になる点でしょうか。 ただ、それ以外はメリットの多い優れた治療法といえます。
治療の流れについては、ラミネートベニアで綺麗な笑顔を手に入れませんか?もご参照くださいませ。







