自ら審美歯科治療をやってみた歯科衛生士の体験談
転倒して歯を折る。保険のプラスチックの歯に。
私も以前は保険のプラスチックで作った表だけ白い歯を入れていました。
小学六年生の時に転倒し、右上の真ん中の歯を破折しました。
その日の内に神経をとり、治療計画としては全体的な被せものをすることになりました。
前歯の被せものは表だけプラスチックで白くし、裏側や内側は金属でできたものです。
また、被せものの中には金属の土台が入っていたためブラックマージンは治療後からあり、ずっと気になっていたものの歯に関する知識がほとんどなかったため、こういうものなんだと諦めていました。
* ブラックマージン→土台や被せものに使う 金属が原因で歯と歯茎の間にあらわれる黒い変色のこと。また、土台の金属が歯茎から透けて歯茎自体が黒く見えてしまう現象。
10数年後に決意。ジルコニアセラミックに変える。
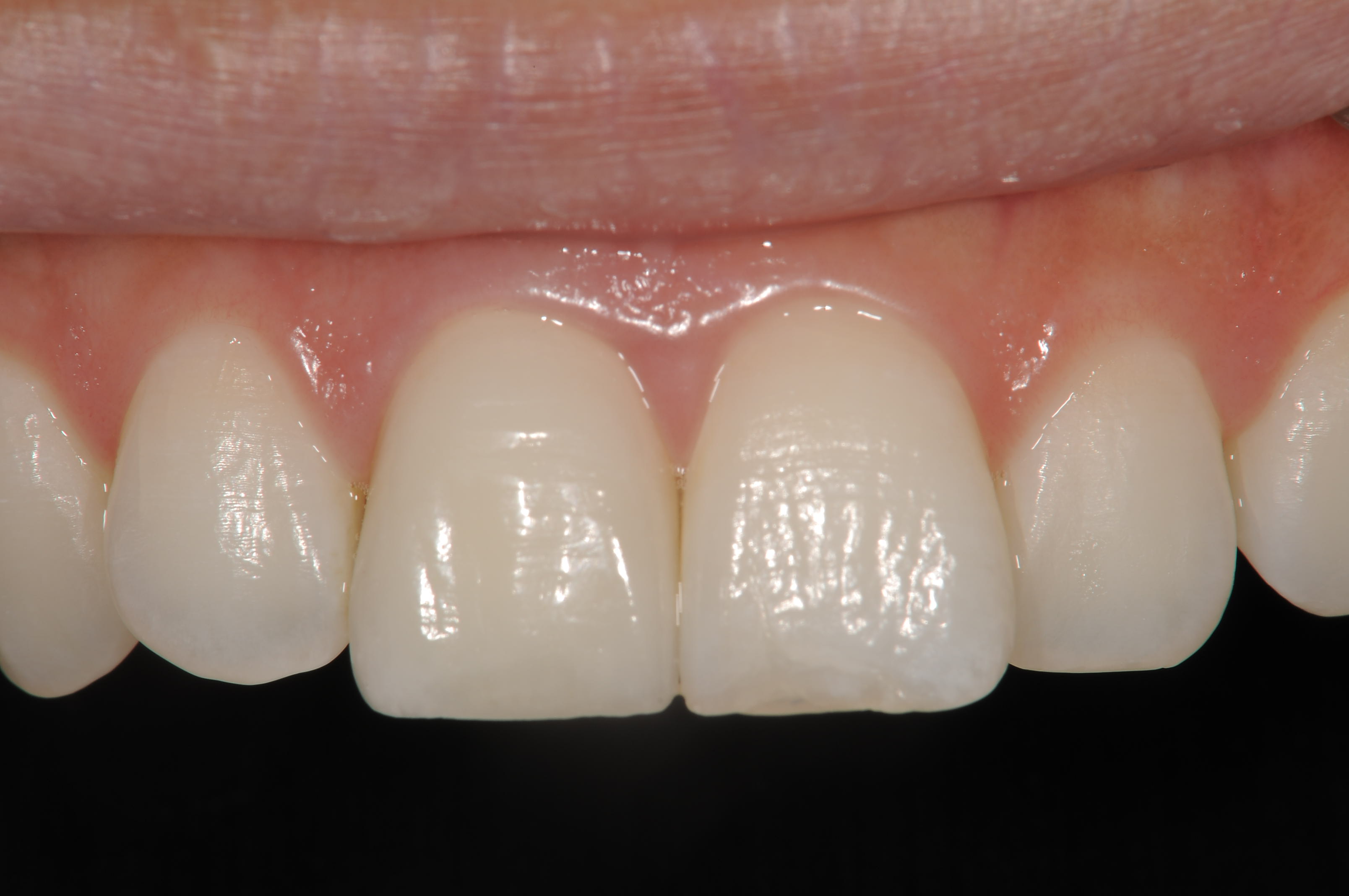
それから十数年…プラスチックの劣化による変色も起こり、池田歯科という審美歯科に優れている環境にいるせいか見ためがどうしても気にってきたので、思いきって被せものをジルコニアセラミックに変える治療をしました。
土台をファイバーコアに変える。
治療としては、まず被せものと金属の土台を除去し、土台をグラスファイバーでできたファイバーコアに変えます。
型どりの前に、土台の形を整える際に歯茎のきわの0.5ミリ下にまで形成することでブラックマージンを解消することができます。
セラミックを入れる前にホワイトニングで自分の歯を白く!
その後、型をとって被せものをつけるのですが、セラミックは後から色を変えることができません。
元々の自分の歯は少し黄色見が強く、そのままの色に合わせて作るよりも、思いきって先に他の自分の歯もホワイト二ングして白くすることでセラミック自体も元々の自分の歯よりも白く作りました。
セラミックを作った後でもホワイトニングをして色を合わせることはできるのですが、どこまで白くできるのか、「白い歯」といっても微妙な色の違いはあります。
どんな白さになるのかは予測できないので、より精密にセラミックと自分の歯の色を合わせたいのであれば、セラミックを作る前にホワイトニングをすることをおすすめします。
私の場合はホワイトニング後の知覚過敏が強く、某元有名野球選手のような真っ白な歯にはなりませんでしたが、ブリーチシェードというホワイトニングをすることで成し得る白さへと色を合わせることができました。
プロフェッショナルな歯科技工所アズテック
被せものは熊本県にある技工所「アズテック」の歯科技工士・田中さんにお願いをして作って頂きました。池田歯科の全てのセラミックの歯を製作して頂いている歯科技工士さんです。(芸能人などの歯も製作されているそうです。)
自分の歯の写真を撮影しそれをメールで送り、それを見て田中さんが色が合うように作製してくれます。
特にどのようにしたい!などはなく、何も言わなくても自分の歯の色や形に似せた自然な歯を作って頂けました。
プロフェッショナルである田中さんだからこそ、写真だけてここまで自然で美しい歯を作ることができたのだと思っています。
審美歯科治療を終えての感想
今まで入っていた被せ物は、色も違っていたり、ブラックマージンがあったりと見ためをとても気にしていたので、思いっきり口をあけて笑うことに抵抗がありました。
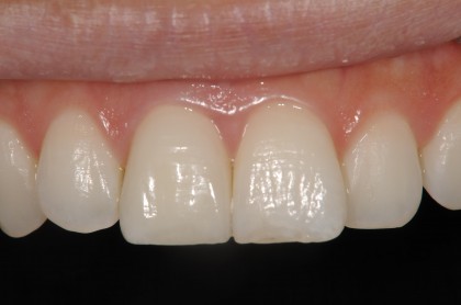
しかし、ジルコニアセラミックにかえることで違和感のない、被せものともわからないほどの仕上がりになりました。ずっと気にしていたものがなくなり、思いっきり笑うことができています。
患者さまに実はこの歯はセラミックの被せものですとお見せしたときにも、「全然わからなかった!」「すごく自然できれい!」と言って頂き、心の中でいつもガッツポーズをする毎日となりました。
保険が適応されないので、治療する前は金額に少し抵抗がありましたが、実際に出来上がった被せものの満足度はとても高く、価値のあるものだと思います。
もしご自分の歯の見ために悩んでいる方がいらっしゃるならば、是非一度相談だけでもお見えになってください。




