美しさの中に隠された「黄金比」審美歯科の基準
レオナルドダヴィンチと黄金比(ゴールデンプロポーション)
私は、推理やミステリー小説が好きで以前、「ダビンチコード」という小説を読みました。その中では、ダビンチの作品に隠された謎を解いていくのですが、黄金比につても出てきました。
レオナルドダヴィンチのウィトルウィウス的人体図には「黄金比」が隠されています。
この黄金比とは、1.618:1の比率で古代より最も美しく感じる比率とされています。
歴史的建造物としてのギリシアのパルテノン神殿やエジプトのピラッミド、ミロのヴィーナス、モナリザの絵画、パソコンの横長モニターやiPod、名刺やクレジットカードにもこの黄金比がつかわれています。
黄金比の起源
この黄金比を初めて使用したのは、古代ギリシアの彫刻家ペイディアスと言われており、「黄金比」という用語が文献に初めて登場したのは、1830年頃と考えられています。
(1835年刊行のドイツの数学者マルティン・オームの著書「初等純粋数学」に記載。この著者は、オームの法則で有名なゲオルク・ジーモン・オームの弟である。)
顔貌と黄金比
このように、美しいとされるものには、黄金比が隠されていて、私たちの顔のなかにも黄金比があります。
例えば、
下唇の厚み:上唇の厚み=1.618:1
両目の眼球間の距離:一方の眼球の幅=1.618:1
上顎左右中切歯(上の歯の真ん中の)2歯の全幅:歯冠長(歯の長さ)=1.618:1 など、挙げればきりがありません。
上に挙げた歯もそれぞれの歯の特徴やバランスを黄金比に近づけることによって口もとの美しさに違いが出てきます。
特に、中切歯の形態と位置は側切歯(中切歯の隣の歯)と犬歯(側切歯の隣の歯)の位置と外観を決定するのに重要です。
画像:上顎前歯の歯牙の写真、中切歯と側切歯と犬歯の黄金比
審美歯科の基準/スマイルライン
歯の形態だけではなく笑った時の口唇のライン(スマイルラインといいます。)と口腔内から見える歯とのバランスも大事です。
そのためには、均整のとれた中切歯が審美歯科的な美しさの基準となり、このスマイルラインの鍵となります。
池田歯科の審美歯科治療では、口腔内の模型はもちろんですが、顔貌写真を撮ったりして、出来上がりに反映させます。
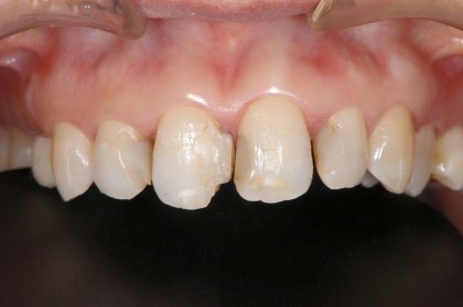
↑治療前の写真
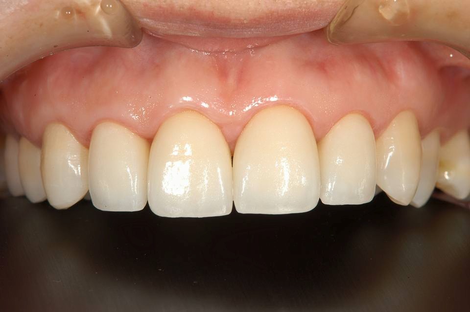
↑治療後の写真

↑黄金比/ゴールデンプロポーションに則り、製作しています。

↑人口の歯には見えない美しい仕上がりです。
詳しくは、当院Webサイト「審美歯科の基準」をご覧くださいませ。
まとめ
個人差はでてきますが、審美歯科治療を行ううえで、美しさの基準とされる黄金比を取り入れ、また、患者様の希望に近づけるようにコミュニケーションもしっかりとるように心がけています。
口もとや歯の形態でお悩みの方は、是非ご相談ください。





