CTグラフト+エムドゲインによる審美性向上のためのルートカバレッジ
右の中切歯の歯頸線(歯茎の高さのライン)が下がっていて、このまま2本の中切歯を再製すると右の中切歯が長くなってしまい、審美歯科の要件であるセントランスドミナンス(両中切歯は可能な限り左右対称であるべき)の基準が満たされません。
つまり、綺麗に見えないということですので、歯頸線を整えていきます。左の中切歯の歯茎をレーザーで切り取ってしまうことで左右を合わせることもできますが、そうすると中切歯の縦と横の比率(縦1:横0.775~0,8)が審美的な要件を満たさなくなります。
今回は、上顎の歯茎の中から結合組織を採取して、右の中切歯に移植して根面被覆(ルートカバレッジ)を行いました。
治療前の状態です。以前に他医院でいれたハイブリッドクラウンが艶がなくなりつなぎ目から虫歯になってきたために、2本の中切歯クラウンを入れ替えることを希望して来院されました。
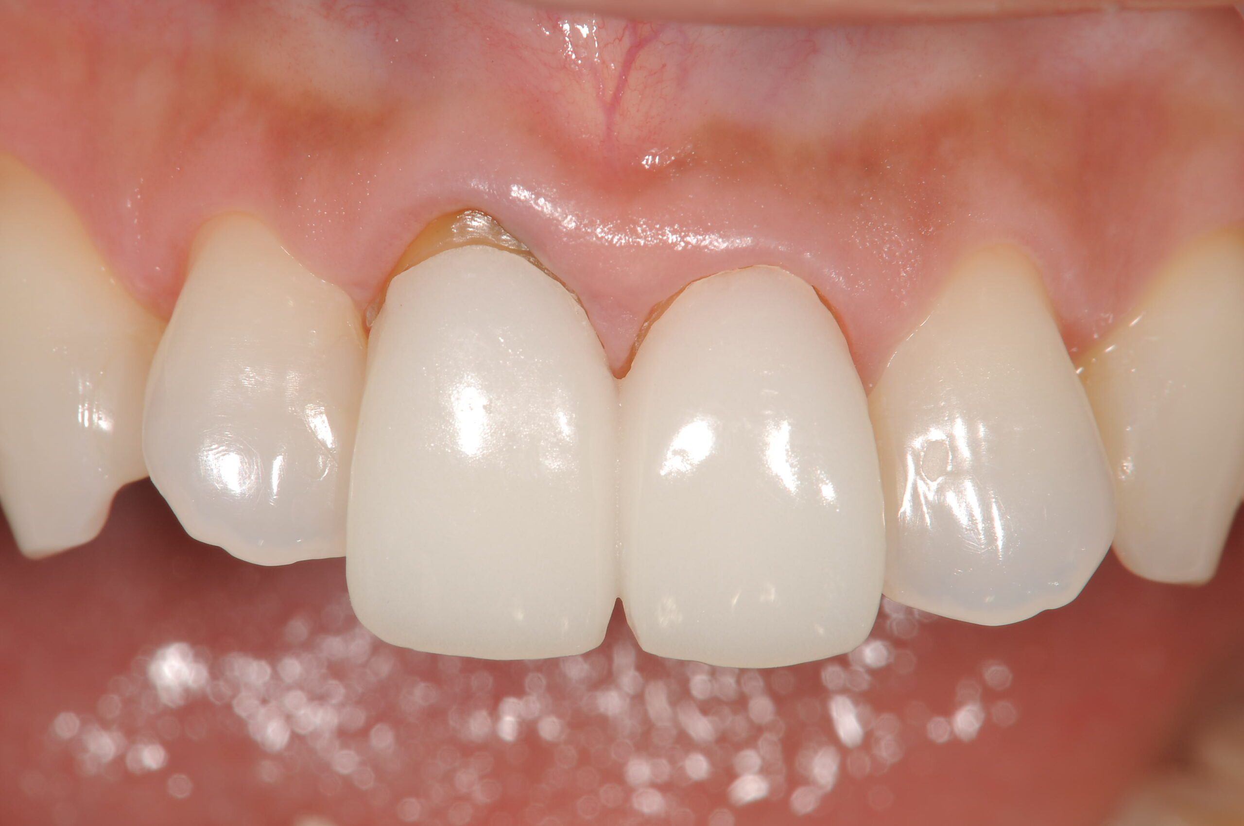
まずは、土台を立て直した後に、ホワイトニング、新しい仮歯を作りました。
右の歯茎の退縮が顕著です。
結合組織を移植する場所にトンネリングテクニックを行います。歯間乳頭の幅径がれば、口蓋側とつないだまま剥離しますが、ほとんど幅がないためやむを得ず切離します。
口蓋から採取した結合組織から脂肪組織を除去して綺麗に整形します。
根面上にエムドゲインを塗布する同時に結合組織を移植します。
歯茎を引き上げて、中に結合組織を入れてオペが終了した状態です。







