ホワイトニングってどうやるの?
こんにちは!歯科衛生士の吉武です。
池田歯科にはホワイトニングをご希望される患者様や興味があるという患者様が多く来院されます。
患者様からのご質問で多いのが
「ホワイトニング効果の歯磨き粉と何が違うの?」「ホワイトニングってどういう方法でするの?」
というものです。
「ホワイトニング効果の歯磨き粉」にもたくさん種類はあるので一概には言えませんが、歯についている着色汚れのステインを落として元の綺麗な歯の色に戻すというものが多いです。「ホワイトニング」は薬剤を使用して歯の質自体を白くする事が出来ますので白くて素敵な口元を手に入れる事が出来ます。
ホワイトニングには病院で行うオフィスホワイトニングとご自宅で行うホームホワイトニングがあるのですが、今日はオフィスホワイトニングの方法を簡単に載せてみようと思います。
①歯の色見本のシェードガイドを使用し現在の歯の明るさを確認します。
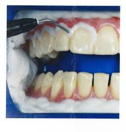
②ホワイトニング材や唾液がのどの奥に流れないようにガーゼなどでしっかり防湿します。
③歯茎に薬剤が着くと痛む可能性があるのでカバーします。
④薬剤を歯質に塗ります。
⑤光を15分間照射します。
④と⑤を二度行い、二時間ほどで終了します。
色の変化には個人差がありますが、歯の色見本のシェードガイドを基準に3〜4段階ほど白く出来ます。
池田歯科にはホワイトニングの症例や詳しい資料も準備しておりますので興味のある方はスタッフにお尋ねください☺






