根面う蝕について
こんにちは!歯科衛生士の加藤です。
今月私は「Dr.Hiroの超明解ペリオドントロジー」という本を
読みました。その本の一部分を少しお話したいと思います。
歯周病は顎の骨が溶けて最終的には歯が抜けるという
怖い病気ですが歯周病が進むにつれ他の問題もでてきます。
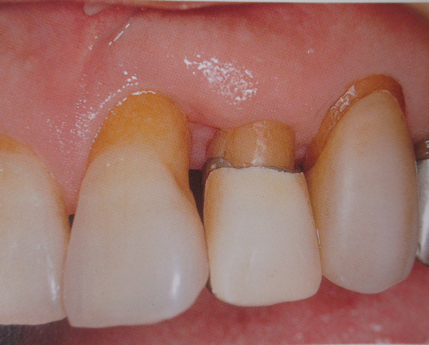
その一つが根面う蝕と呼ばれるものです。
これは、歯肉炎や歯周病などによって
歯ぐきと歯の間にすき間ができ、
露出した歯の根面に起きる虫歯です。
歯肉炎や歯周病でなくても、
年齢を重ねると歯ぐきはやせて下がってきて、
虫歯になりやすくなります。
また、間違った歯磨きで歯茎を傷めて、
歯の根元が露出してしまうこともあります。
露出した根面は歯の表面のエナメル質という
歯の中で一番固い組織よりも
いっそう酸に溶けやすくなっています。
酸に溶けやすいということは虫歯になりやすいってことです。
おまけに根面はエナメル質のようにツルツルしてないので
プラーク(歯垢)がつきやすく取れにくくなっています。
そして根面はくぼみがあり磨きにくいので
余計虫歯になるリスクが高いのです。
ではどうやって予防していったらいいのかということです。
まず自分の虫歯の原因を知ることです。
当院ではサリバテストといって唾液を採取し
個人個人どういったことが原因で虫歯になっているのか
虫歯のリスクを測定するものがあります。
まずは原因を知り自分に合った予防方法を知ることが大切です。
そして次に大事なのがいかに根面を強くするか、ということです。
それには一番フッ素が効果的です。
家庭内でフッ化物入りの歯磨き粉を使用したりと
取り入れることができます。
次にいかに根面に虫歯菌を溜めないか、です。
日頃の歯磨きのことです。
次にいかに虫歯菌にエサを与えないか、です。
糖質の摂取量や間食の回数を減らす努力です。
次にいかに唾液という味方を増やすかということです。
噛む回数を増やしたり水分をこまめに
補給したりして唾液を増やします。
こういった予防方法で根面う蝕を防ぎましょう!


