口からのアンチエイジング講座
こんにちはっ歯科衛生士の松藤です。
先日、院長と私で「口からのアンチエイジング講座」を行いました。
普段の診療では、細かな事がお話し出来ず診療をしてますので、講座を通して歯に関するいろんな情報がお伝え出来ればと、今年から無料講座イベントを開催してるんですよぉ
今回、院長のお話は「歯科医師として男性目線から見た歯からの若さとは?」
という内容でした。
院長自身もトライアスロンを通しての、「運動」トライアスロンの数々の大会に出場〜
朝食はナチュラルハイジーンの考え元をに、果物と生ジュースというこだわり♪
先日、8月27日に55歳になられましたが、確かに若い!ですよねぇ〜院長です↓
口からの若々しさが第一印象の約40%という事なんですが、では具体的にはどういう風にしたら?
良いかというと、
1.咬みあわせとあごの位置を正しくする
2.審美歯科治療による若々しい笑顔
咬みあわせと顎に位置を正しくするとどうなるかと言いますと、
K-7システムを使用して咬みあわせとあごの位置を正しくする
↓
咀嚼機能の向上、顔面表情筋の活性化、リンパの流れが良くなり、免疫力アップ。
↓
顔貌の左右対称性、肌の色のツヤ、ハリが出てほうれい線がうすくなります。
では、審美歯科治療をすると、なぜ若々しい笑顔になるかというと
審美歯科治療による若々しい笑顔
↓
自分の笑顔に自信が持てると、普段から笑う習慣
↓
表情筋のリフィトアップになり、肌の色、ツヤ、ハリが出ます。
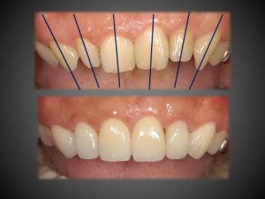
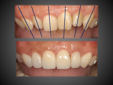
審美治療は緻密なバランス計算と歯の形のデザインによって若々しくなれます。
例えば、歯の向きにも関係あります。歯並びですよねぇ
歯の縦横のバランスにも関係します。
1.618:1 これが歯の縦横、真ん中とその隣の歯の黄金比率の数字でもあります。
例えば、名刺の縦と横の長さのバランスもこの比率なんですよぉ~
真ん中の歯は同じ向き、同じ色が原則です。
セラミックスの歯は、色はオーダーメイド。色調、明度、彩度を考えて色付けしてあります。例えば前歯6本をセラミックスにすると、歯の切端の角度を奥に行くほど広く作るのが、若々しく見える形なんです。元々歯がすり減ってない若い頃はこういう形なんですよっ
以上の事柄を緻密に計算してセラミックスの歯は作られます。
そういう分野の治療が審美歯科なのです。
咬みあわせ、審美治療で10歳は若く見えちゃうんですねっ。
私は、「体の中からのアンチエイジング」をお話しました。
キーワードは美腸
腸を綺麗にする食品が、生の野菜に果物、発酵食品、という食からの美腸のお話でした。
腸を綺麗にする事で、血液も綺麗になり、細胞も生まれ変わり、肌も綺麗になります。
牛乳、白砂糖、酸化した油、マーガリンは体を酸化しますので、なるだけ取らない事。
発酵食品やローフードで、日頃からデトックス出来る健康な体にして、頂き物や外食は
気にせず美味しく食べる♪ 食べる喜びと幸せの大切さをお伝えしました。
今後も皆様の健康、アンチエイジングのお手伝いが出来るイベントを企画致しますので
内容のリクエストがあれば、松藤までご意見お願いしまーす。








