練習会
皆様こんにちは、歯科衛生士の森坪です。
昨日は台風のような雨、風にみまわれましたが皆様大丈夫でしたか??
私は強風によりに傘が折れてしまい、足元もびしょびしょになりながらの帰宅でした。笑
気持ちを切り替え、、、
今日は院内練習会でした!
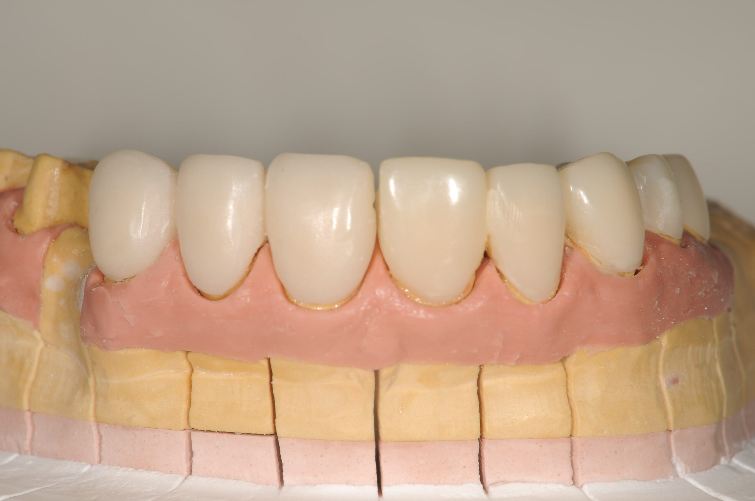
内容は、TEK(仮歯)を理想的な形に作り、スピードアップも目的とした練習会が行われました。
解剖学的形態を理解し、幅や長さ、バランスなど審美的にも良い物を作れるよう意識しての練習です。
治療中で仮歯になったとしても、少しでも快適に皆様が生活でき、見た目も気にせずに過ごせるようお手伝いをしたい、、、
そんな気持ちでスタッフ一同頑張っています!!
今日は上の前歯の練習です!(^^)


