噛み合わせについて知っておきたいこと。
噛み合わせについて
皆さん、矯正治療というとまず、歯並びをキレイにするという風に思われると思います。
当院に来られる患者さんがよく言われるのは
・歯並びがガタガタしている
・口が開けにくい
・口を開けると音がする
・口を開けるとこめかみが痛い
・肩こり、頭痛がある
・どこで噛んでいいのかわからない
などなど。
実は噛み合わせとは次の3つの要素が絡み合って構成されています。
・歯並び
・頬っぺたの筋肉
・顎関節
上記の中で、噛み合わせにおいて多くの要素を占めているのが歯並びです。
歯並びがガタガタしていることで、上と下を合わせた時にガチッと噛みこむということがよく見られます。
でももしかしたら歯だけで作られたこの噛み合わせは、筋肉や顎にとってはリラックスした位置ではないかもしれないのです。
もしそうであれば、口を開け閉めする度に筋肉や顎に負担がかかることになります。
当院では、K-7という器械を使って筋肉や顎にとってのリラックスした位置がどこなのかを調べることが出来ます。
この結果を元に、矯正治療でその位置に噛めるように動かしていくことが必要です。
実際の矯正治療について
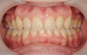
改善点
・全体に歯並びのアーチが狭い
・歯が前方.舌側に倒れ込んでいる
・歯並びがガタガタしている
このワイヤーを使って歯並びを整えていきます。
全体が広くなり、歯並びも整ったことで、顎の引っ掛かりがなくなりスムーズに噛めるようになりました。
まとめ
この矯正治療は、ワイヤーが複雑で歯磨きも大変になります。
しかし矯正治療をすることで、長く健康な歯を手に入れて、長い人生をより良く過ごしていただきたいと思っています。
もし皆さんの中でお悩みがあれば一度ご相談頂ければと思います。




