歯周病で歯が抜けた場合のインプラント
歯周病により歯が抜けてしまい、インプラントで固定式の義歯を入れた患者さんのケースです。
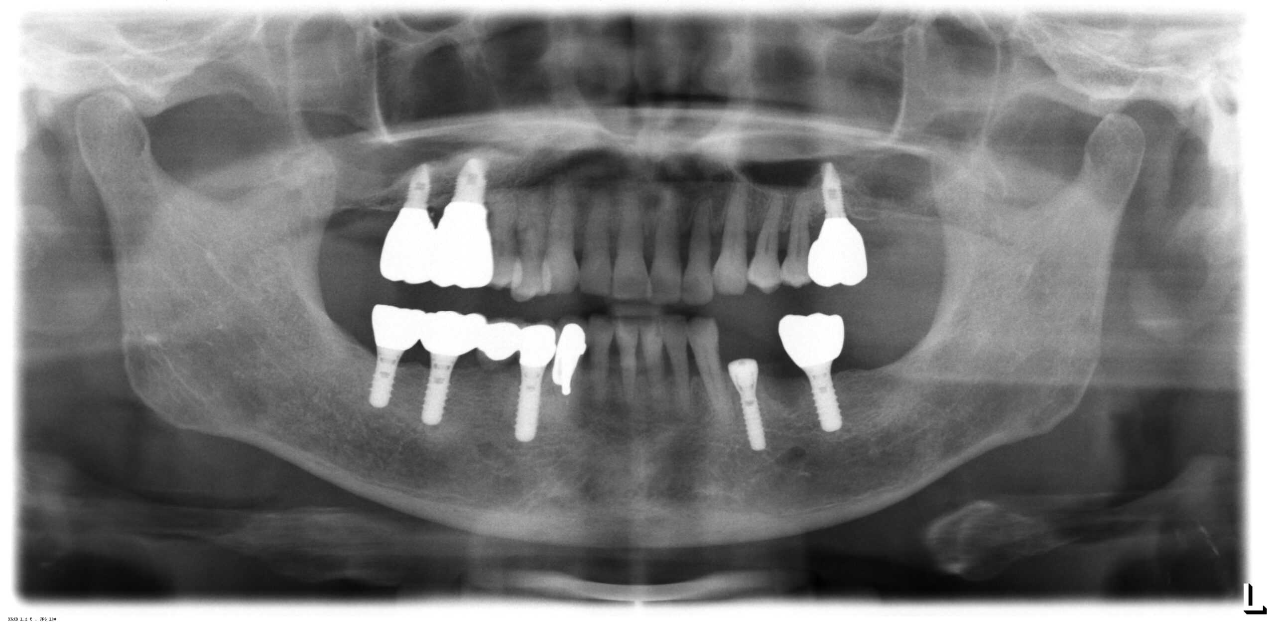
平成16年に初診で来院され、右下の奥歯に3本のストローマンインプラントを植立し、4ユニットのブリッジを装着しました。
その翌年に左上下の奥歯の欠損に1本づつのインプラント義歯を植立して歯周病のメインテナンスを継続していました。
その後平成20年に右上の奥歯の歯周病が進行したために抜歯し、2本のインプラント義歯を植立しました。
さらに今年になって左下の小臼歯の歯周病が進行して抜歯となり、本日第1小臼歯部位にストローマンTL 3.3 12mmを埋入しました。
2か月後に第1大臼歯部位のインプラントと連結して、ブリッジがはいる予定です。
このように、全体にわたる歯周病の患者様においては、ご自分の歯の歯周病をコントロールしながら、保存の限界に来た時にその都度インプラントに置き換えていくという治療方針を選択することがあります。
一度に多くの歯を抜歯して入れ歯になると大変苦労されることがありますが、このように最小限の介入を継続して行くことで、今までの咬みあわせと自分の歯を最大限利用しながらインプラントに移行して行くこともできるのです。
9年前の初診時、右下にインプラントの埋入を計画した時のレントゲンです。
左下に今回1本のストローマンインプラントを埋入した後のレントゲンです。



