4年がかりの矯正+インプラント+審美修復のケースが終了!
4年ほど前に始めた治療でしたが、途中で上顎正中嚢胞が見つかり、大学病院で手術となりしばらく歯の治療ができなくなったことと、その後矯正治療で歯列を改善したり、歯周病も重度であったためにエムドゲインの再生手術を行ったり、インプラントしたりで結局4年以上の期間を費やしました。
ただし、その間は仮歯で日常生活には全く支障のない状態でしたので、患者様も何とか頑張って継続していただき、先日めでたく治療が終了となりました。
治療経過の画像は何十枚も撮影しているのですが、最初と矯正後と終了時のものをそれぞれ数枚ずつアップします。
右下にインプラントをして、とりあえず奥歯で噛めるようにした直後です。
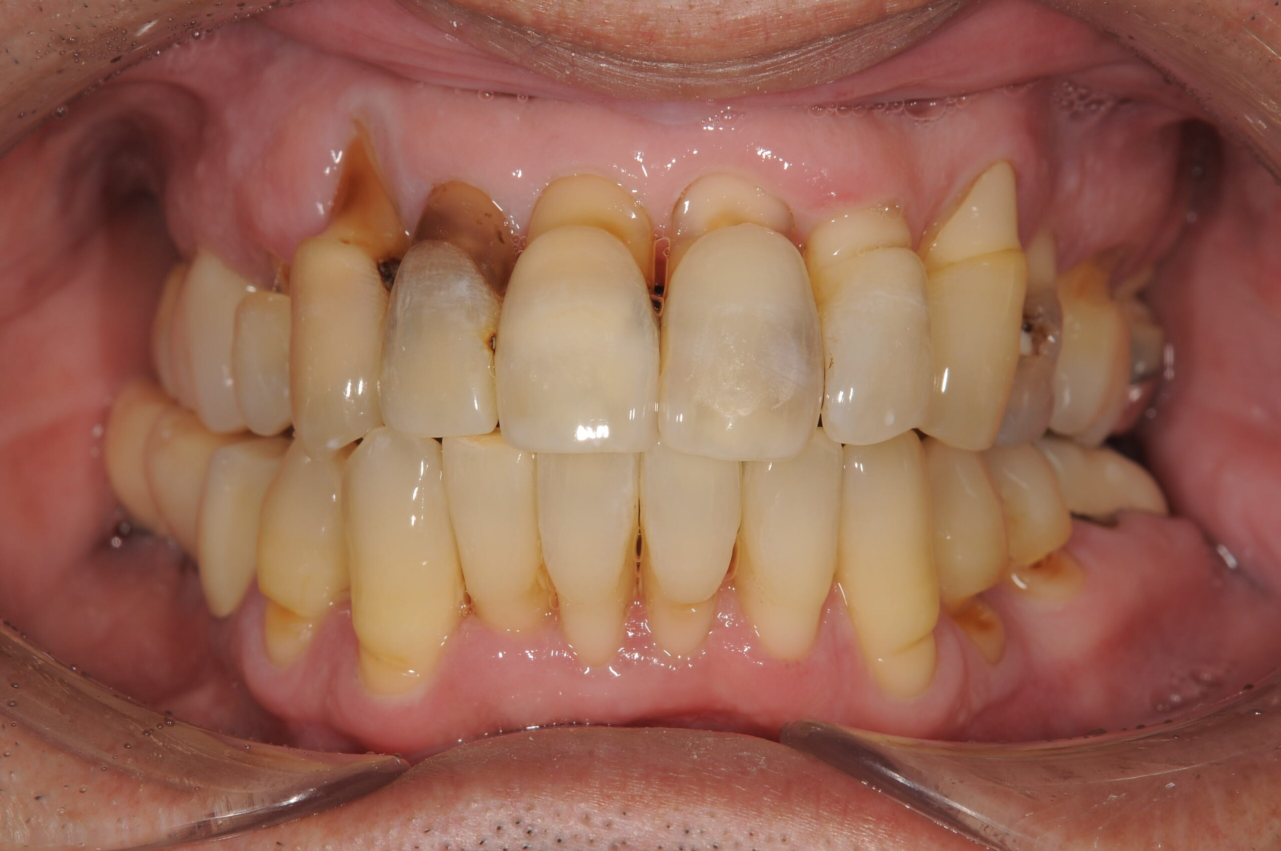
歯周病の基本治療のみ終了時点です。
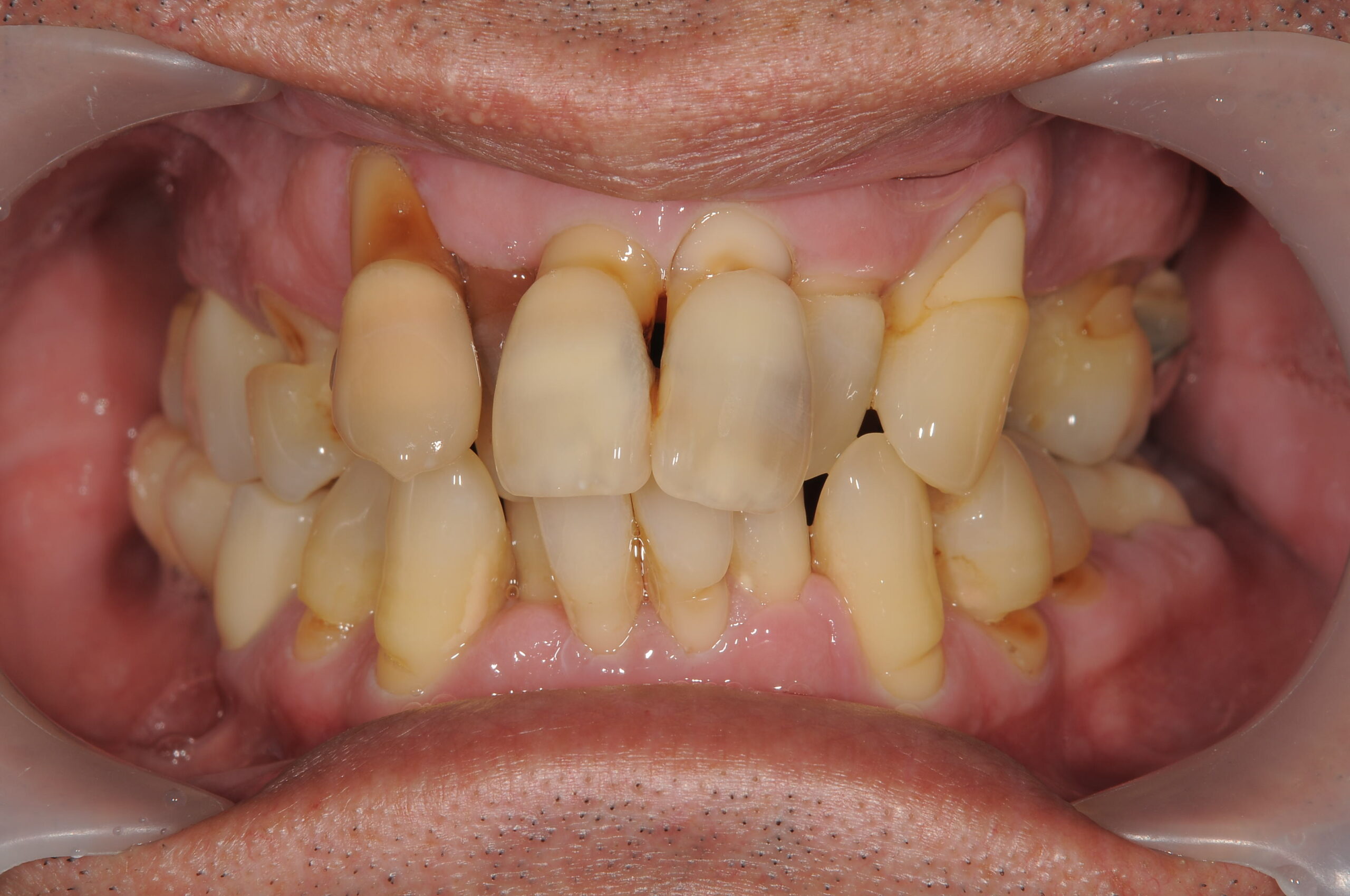
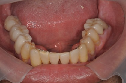
歯並びの矯正が終了したところです。
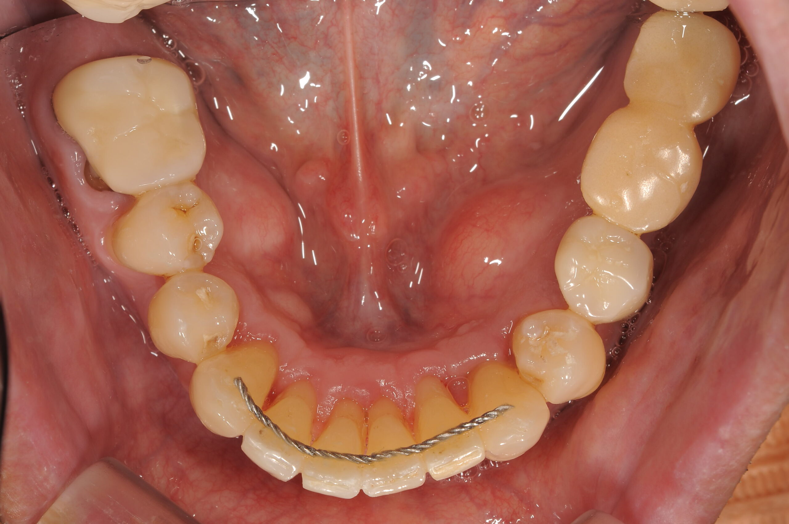
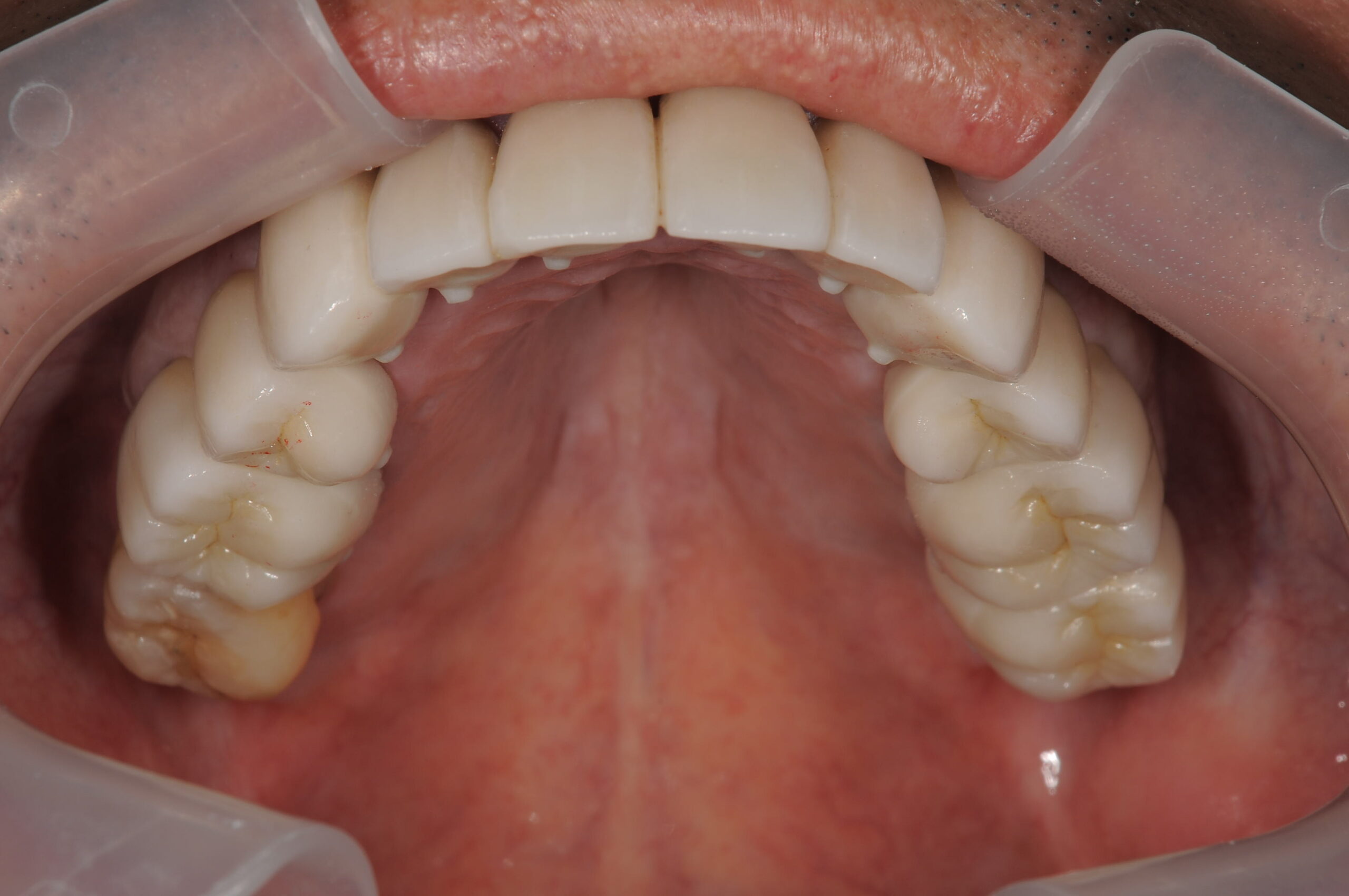
セラミックスの歯が入って治療終了時点です。
歯並びも整い、歯周病もなくなりなんでも良く噛めるようになりました。










